Paciente feminina de 57 anos, hipertensa e diabética tipo 2
insulino-dependente com tratamento irregular, admitida no
pronto socorro há 36 horas por acidente vascular encefálico
isquêmico em topografia de artéria cerebral média esquerda, fora
de tempo de trombólise.
Durante o seu plantão, a paciente evolui com rebaixamento do
nível de consciência e é entubada para proteção de vias aéreas. Ao
exame físico pós-intubação, encontra-se em RASS -5 sem
sedoanalgesia contínua, com anisocoria esquerda > direita,
mantendo hemiplegia dimidiada à direita, pressão arterial de
200x120 mmHg, FC de 65 bpm, ventilando em modo controlado,
bem acoplado e sem assincronias, com ausculta cardíaca e
pulmonar sem alterações.
Exames laboratoriais pós intubação evidenciando Hb 12.2, Ht 36,
leucócitos 9500, plaquetas 240.000, Ur 40, Cr 1.2, Na 132, K 4.2,
Mg 1.9, pH 7.30, pCO2 58, pO2 130 e HCO3 23.

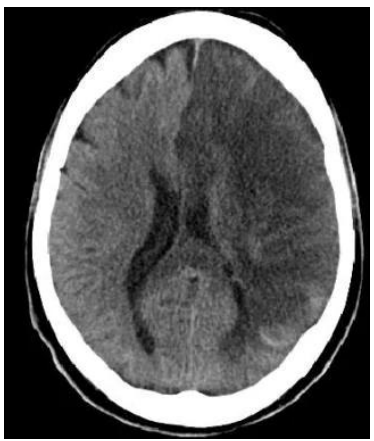
Tomografia computadorizada de crânio sem contraste, com
hipodensidade fronto-parieto-temporal volumosa à esquerda,
apagamento de sulcos e desvio contralateral da linha média.