Lactente masculino de 14 meses está internado em enfermaria de pediatria para tratamento de uma pielonefrite
aguda, por meio de antibiótico venoso. Solicitada ultrassonografia renal e de vias urinárias que evidenciou, apenas,
hidronefrose bilateral. A mãe do menor relata outros dois internamentos prévios pelo mesmo diagnóstico (o que foi
comprovado pelos resumos de alta). Paciente recebeu alta com quimioprofilaxia oral e solicitação para
realizar uretrocistografia miccional (UCM) em nível ambulatorial, desde que urocultura negativa.
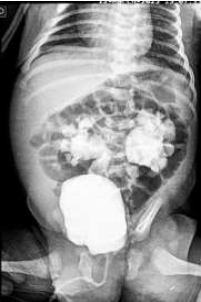
A UCM foi realizada, e uma das imagens encontra-se abaixo:
Sobre este caso, analise as assertivas abaixo:
I. A quimioprofilaxia foi bem indicada na alta hospitalar, e uma das opções é o emprego de sulfametoxazol e trimetoprima na posologia de um quarto da dose terapêutica, uma vez ao dia.
II. A imagem da UCM evidencia achados típicos de válvula de uretra posterior.
III. A cintilografia renal com ácido dimercaptosuccínico-tecnécio-99 deve ser solicitada, pois a principal hipótese diagnóstica para este lactente é de estenose da junção ureteropélvica à direita e displasia renal à esquerda.
IV. A hipótese mais provável para este paciente é de estenose da junção ureterovesical à direita e megaureter à esquerda.
Podemos afirmar que
Sobre este caso, analise as assertivas abaixo:
I. A quimioprofilaxia foi bem indicada na alta hospitalar, e uma das opções é o emprego de sulfametoxazol e trimetoprima na posologia de um quarto da dose terapêutica, uma vez ao dia.
II. A imagem da UCM evidencia achados típicos de válvula de uretra posterior.
III. A cintilografia renal com ácido dimercaptosuccínico-tecnécio-99 deve ser solicitada, pois a principal hipótese diagnóstica para este lactente é de estenose da junção ureteropélvica à direita e displasia renal à esquerda.
IV. A hipótese mais provável para este paciente é de estenose da junção ureterovesical à direita e megaureter à esquerda.
Podemos afirmar que