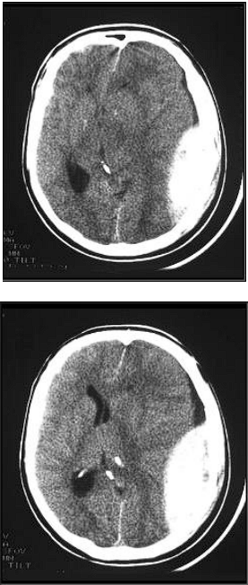
Paciente de 26 anos de idade, sexo masculino, vítima de
acidente motociclístico contra anteparo fixo. Segundo
informações da equipe de atendimento pré-hospitalar, o
paciente foi encontrado sem capacete e andando na cena
do acidente. Posicionado em prancha rígida com colar
cervical, evolui durante o transporte com rebaixamento do
nível de consciência. Na entrada no departamento de
emergência apresentava via aéreas aparentemente pérvias,
frequência respiratória de 18 incursões por minuto,
expansibilidade torácica simétrica e bilateral, frequência
cardíaca de 110 batimentos por minuto, pressão arterial de
100x60mmHg, abertura ocular a estímulos dolorosos,
ausência de resposta verbal, resposta motora flexora
inespecífica (sem localização) a estímulos dolorosos. Notou-se que o paciente movimentava apenas o dimídio esquerdo.
Anisocórico (pupila esquerda midriática). Tomografia sem
contraste.
