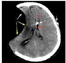
Paciente, sexo masculino, 65 anos, sofreu quadro de AVC isquêmico maligno em território de artéria cerebral média à direita há 1 ano, sendo necessária a realização de hemicraniectomia descompressiva extensa. Paciente evoluiu com recuperação parcial dos deficits neurológicos do AVC após muitas sessões de fisioterapia e terapia ocupacional. Estava aguardando cirurgia de cranioplastia, quando passou a apresentar quadro de sonolência excessiva, cefaleia e confusão mental. Realizou tomografia computadorizada de crânio que evidenciou o seguinte resultado:

Considerando o caso clínico hipotético, é correto afirmar que trata-se da síndrome: