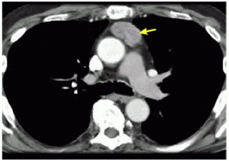
Ulna paciente de 47 anos de idade, com sint01nas gripais agudos, realizou exames de imagem de tórax por suspeita de Covid-19. A hipótese não se confirmou, porém a tomografia computadorizada de tórax, representada pela imagem a seguir, evidenciou uma massa heterogênea de contornos bem definidos em topografia de mediastino anterior, em localização de timo, de aproximadamente 4,5 cm x 2,9 cm. Não apresentava linfonodos aumentados no exame de imagem. Realizaram-se , ainda, tomografias computadorizadas de encéfalo e de abdome, que não mostraram alterações.

Acervo Pessoal
Tendo em vista esse caso clínico e os conhecimentos médicos correlatados, julgue os itens a seguir.
Em pacientes portadores de miastenia gravis, deve ser evitado o uso de relaxantes musculares no momento da indução anestésica para ressecção dos tumores de mediastino associados.