Magna Concursos
2781528 Ano: 2023
Disciplina: Medicina
Banca: VUNESP
Orgão: Pref. Pindamonhangaba-SP
Provas:

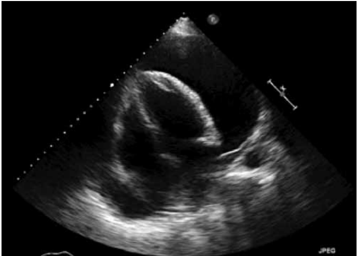
Mulher, 70 anos, com câncer de mama em quimioterapia, queixa-se de dispneia a mínimos esforços nos últimos dois dias. Apresenta frequência cardíaca de 110 bpm e pressão arterial de 90x50 mmHg. Realiza ecocardiograma que mostra a imagem a seguir.

Enunciado 3561551-1

Assinale a alternativa que contém achado do ecocardiograma que indica a necessidade de punção pericárdica urgente.

 

Provas

Questão presente nas seguintes provas

Médico - Cardiologia

40 Questões