Magna Concursos
2062052 Ano: 2021
Disciplina: Medicina
Banca: ADVISE
Orgão: Pref. Coremas-PB
Provas:

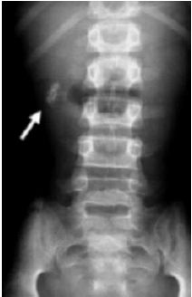
Observe a radiografia abaixo e indique a principal hipótese diagnóstica:

Enunciado 2062052-1

 

Provas

Questão presente nas seguintes provas

Médico - Radiologista

40 Questões