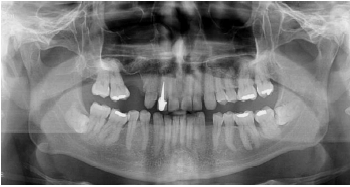
Paciente do sexo masculino, 55 anos de idade, comparece ao consultório odontológico encaminhado pelo ortodontista, sem queixas álgicas. No exame clínico, não foi possível visualizar os dentes 38 e 48, que estavam totalmente recobertos por gengiva e sem sinais de inflamação ou infecção. Na radiografia panorâmica, evidencia-se ambos retidos e impactados, sem sinais sugestivos de patologias associadas. Foi solicitada tomografia computadorizada por feixe cônico e confirmou-se íntimo contato do 48 com canal mandibular. Dentre as seguintes características, assinale a alternativa que apresenta um fator que contraindica a realização da coronectomia no dente 48.
