Magna Concursos
395089 Ano: 2016
Disciplina: Medicina
Banca: VUNESP
Orgão: Pref. Presidente Prudente-SP
Provas:

Leia o enunciado a seguir e responda à questão.

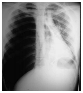
Paciente portador de asma brônquica é trazido por familiares ao pronto atendimento com queixa de dispneia súbita, dor torácica em hemitórax direito e dificuldade para falar. O exame físico revela o paciente sonolento, torporoso, taquidispneico e com cianose de extremidades. Escala de Glasgow na chegada = 8 (abertura ocular = 2, resposta verbal = 2, resposta motora = 4), PA = 100 x 60 mmHg, FC = 120 bpm e SpO2 = 73%. Realizada radiografia de tórax na sala de emergência (ilustrada a seguir).

enunciado 395089-1

A radiografia de tórax é compatível com

 

Provas

Questão presente nas seguintes provas

Médico - Clínica Geral

60 Questões