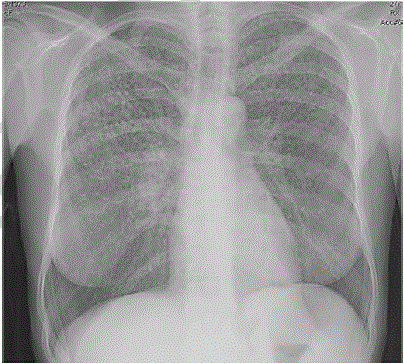
Uma paciente de 45 anos de idade compareceu, acompanhada pela filha, a consulta ambulatorial. Queixa-se de perda de peso (em tomo de 4 kg nos últimos seis meses), febre vespertina e fadiga há mais de 20 dias. Observou que tem trabalhado muito, tem uma fadiga crônica e acha que iniciou os sintomas após exposição à chuva e a vento frio quando voltava do trabalho para casa. Ela informa que é etilista social e tabagista (15 cigarros/dia), e apresentou alguns exames laboratoriais como hemograma, eletrólitos, função hepática e renal normais. Os raios X de tórax estão representados na imagem a seguir. O resultado do PPD e o lavado brônquico são negativos.

Disponível em: <http://www.medicinanet.com.br/>. Acesso em: 12 nov.2020 .
(Figura ampliada na página 10)
Com base nesse caso clínico, na imagem apresentada e nos conhecimentos médicos correlatos, julgue os itens a seguir.
A imagem dos raios X de tórax coloca a tuberculose como diagnóstico diferencial.