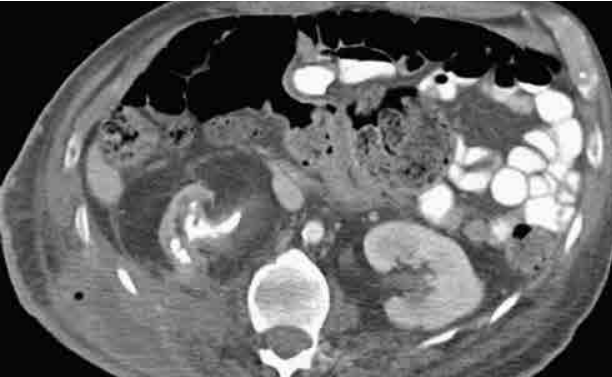
Mulher de setenta anos de idade, obesa, portadora de diabetes mellitus e histórico de nefrolitíase dá entrada no pronto-socorro com dor lombar à direita há três dias, febre aferida, diminuição da diurese e mantendo estabilidade hemodinâmica. Foram realizados exames laboratoriais, que evidenciariam o aumento de provas inflamatórias, escórias nitrogenadas e urina tipo 1 infecciosa. Também foi realizada tomografia de abdome e pelve, com contraste endovenoso.

Com base nesse caso hipotético e considerando a avaliação do corte tomográfico na imagem acima, a principal hipótese diagnóstica é