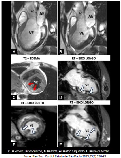
Paciente, 53 anos, sexo feminino, não hipertensa, não diabética, não tabagista, evoluindo com quadro de insuficiência cardíaca, do tipo restritiva de difícil controle, encaminhada para implante de marcapasso, devido a um Bloqueio atrioventricular (BAVT). Trouxe uma radiografia de tórax com micronódulos pulmonares difusos e um ecocardiograma feito no interior que mostrava uma miocardiopatia dilatada com FE=38%, com alterações segmentares de contratilidade. Cineangiocoronariografia normal. Foi solicitada a ressonância magnética cardíaca para esclarecimento diagnóstico, antes do implante do marcapasso e biópsia.

Após análise do caso clínico e da ressonância cardíaca realizada e apresentada acima, qual o diagnóstico mais provável?