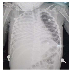
Uma menina de um ano e sete meses de idade foi levada ao pronto-socorro com queixa de dor abdominal, vômitos e febre (39 ⁰C) há dois dias. Sua mãe referia resfriado há dez dias, com piora há três dias. Exame físico: REG; descorada 2 +/4+; anictérica; acianótica; afebril; taquipneica; FR de 50 irpm; FC de 140 bpm; PA de 85 x 50 mmHg; sat. de O2 de 91% em ar ambiente; MV+, abolido em 2/3 inferiores do hemitórax direito; broncofonia diminuída em base direita; e tiragem subcostal. Exames: Hb 9.5 g/dl; Ht 27%; leucócitos 26.500, com desvio à esquerda; e PCR 25 mg/dl.

Com base nesse caso hipotético, assinale a alternativa incorreta.
Provas
Questão presente nas seguintes provas