Magna Concursos
100324 Ano: 2018
Disciplina: Medicina
Banca: FCC
Orgão: TRT-2
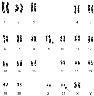
A figura abaixo mostra um cariótipo feminino com translocação recíproca e equilibrada entre os braços longos dos cromossomos 9 e 22.
enunciado 100324-1

É mais provável que esta paciente apresente leucemia
 

Provas

Questão presente nas seguintes provas