Magna Concursos
2056985 Ano: 2021
Disciplina: Medicina
Banca: FGV
Orgão: FunSaúde-CE

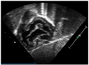
Assinale a opção que contém a afirmação que pode ser seguramente obtida, a partir da imagem ecocardiográfica a seguir.

Enunciado 2056985-1

 

Provas

Questão presente nas seguintes provas

Médico - Cardiologia Pediátrica

70 Questões