
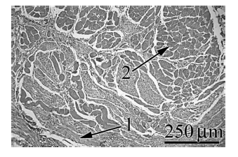
Com base no corte histológico mostrado na figura acima, julgue os itens que se seguem.
Todas as células desse tecido apresentam interações com glândulas, apesar de tais estruturas não serem exibidas na figura.

Com base no corte histológico mostrado na figura acima, julgue os itens que se seguem.
Todas as células desse tecido apresentam interações com glândulas, apesar de tais estruturas não serem exibidas na figura.