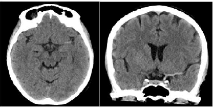
Um homem de 64 anos de idade, sem comorbidades conhecidas, há 3 horas apresenta dificuldade para movimentar o braço direito e para andar, além de relatar sensação de formigamento do lado direito do corpo e apresentar dificuldade para conversar. Familiares negam história de traumatismo craniano. Na admissão do paciente, foram obtidas as seguintes informações: temperatura axilar de 36,5°C, pressão arterial de 130 mmHg x 66 mmHg, frequência cardíaca de 80 bpm, saturação de oxigênio de 96%, glicemia capilar de 88 mg/dL e Glasgow = 15. O paciente estava consciente e orientado em tempo e espaço; pupilas fotorreagentes; movimentos oculares preservados; força motora grau III em dimídio direito e discreta redução da sensibilidade tátil ipsilateral; apagamento do sulco nasolabial à direita; ptose da pálpebra direita; diadococinesia preservada; afasia grave. Foi feita uma tomografia, a qual é exibida a seguir.

Nesse caso clínico, assinale a alternativa que apresenta, respectivamente, o achado exibido na tomografia, o escore do NIHSS e o melhor tratamento para esse paciente.