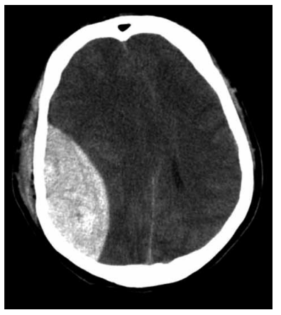
Homem de 39 anos dá entrada no pronto-socorro de um hospital após queda de escada (altura aproximada de 2,5 m). Apresenta afundamento de crânio em região parietal direita com sangramento ativo. Exame neurológico: AO = ao estímulo doloroso; RV = emitiu sons incompreensíveis; RM = flexão anormal; otorragia ipsilateral e anisocoria. Estável hemodinamicamente. Realizado atendimento inicial corretamente e como não há neurocirurgião na unidade, o paciente será transferido a um hospital de referência em Trauma. Tomografia de crânio demonstrada a seguir.

Assinale a alternativa que contempla, respectivamente, o correto escore da Escala de Coma de Glasgow (ECG), o diagnóstico da lesão e a terapia medicamentosa indicada para redução inicial da pressão intracraniana.