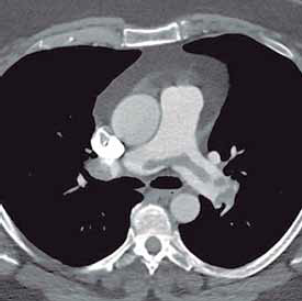
Considere um paciente hemodinamicamente estável com a seguinte tomografia de tórax.

(Arquivo pessoal; imagem usada com autorização)
Quanto ao manuseio terapêutico, a conduta inicial correta é
Provas
Questão presente nas seguintes provas
Médico - Endocrinologia
50 Questões
Médico - Geral
50 Questões
Médico - Homeopatia
50 Questões
Médico - Oftalmologia
50 Questões
Médico - Patologia Clínica/Medicina Laboratorial
50 Questões
Médico - Reumatologia
50 Questões