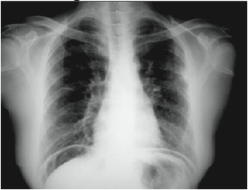
Idoso de 69 anos com quadro de melena há 1 semana e, há 3 horas, referiu surgimento de dor abdominal aguda dufusa mais intensa em epigastro. Estava em uso de diclofenaco diariamente há 1 ano, devido à coxartrose. Nega uso de outras medicações. Foi realizada a seguinte radiografia:

Diante do quadro, assinale a alternativa que apresenta o correto diagnóstico.