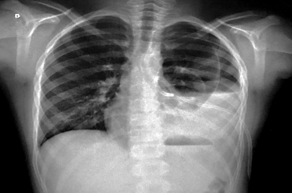
Considere a radiografia de tórax abaixo.
O diagnóstico mais provável é:
Derrame pleural.
Pneumonia em lobo inferior E.
Aumento da área cardíaca.
Derrame pericárdico.
Atelectasia pulmonar.
Olá, para continuar, precisamos criar uma conta! É rápido e grátis.