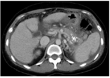
Observe a a tomografia de abdome sem contraste mostrada a seguir:

Considerando a principal alteração encontrada na tomografia de abdome sem contraste apresentada, assinale a alternativa que constitui a hipótese diagnóstica mais provável.
Observe a a tomografia de abdome sem contraste mostrada a seguir:

Considerando a principal alteração encontrada na tomografia de abdome sem contraste apresentada, assinale a alternativa que constitui a hipótese diagnóstica mais provável.