
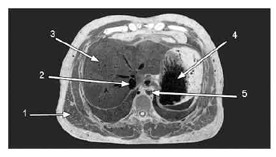
A figura acima mostra a fotografia de um corte anatômico realizado em cadáver. Considerando os dados mostrados na figura, julgue os itens a seguir.
A seta 3 indica um órgão capaz de realizar trocas gasosas.

A figura acima mostra a fotografia de um corte anatômico realizado em cadáver. Considerando os dados mostrados na figura, julgue os itens a seguir.
A seta 3 indica um órgão capaz de realizar trocas gasosas.