Magna Concursos
2607254 Ano: 2022
Disciplina: Medicina
Banca: Consulplan
Orgão: PM-RN

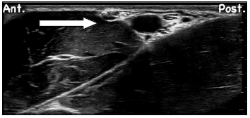
Observe a imagem relacionada ao bloqueio do plexo braquial ao nível axilar:

Enunciado 2607254-1

O nervo destacado pela seta é o:

 

Provas

Questão presente nas seguintes provas

QOSPM - Médico/Anestesiologia

80 Questões