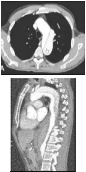
“Homem, 34 anos, refere dor torácica lancinante de início há doze horas; dá entrada no pronto-socorro. À entrada, encontrava- -se com a PA: 180 x 60 mmHg e FC: 105. Diante da suspeita diagnóstica, foi realizado o seguinte exame:”

Após o manejo inicial, o paciente foi submetido ao procedimento cirúrgico com sucesso. Em reavaliação ambulatorial, realizou-se nova angiotomografia de tórax que detectou a presença de endoleak decorrente da porosidade do enxerto. Qual a classificação desse tipo de endoleak?