Paciente feminina, 18 anos, procurou atendimento em UPA com queixa de dor abdominal em baixo ventre há 2 dias e recebeu antibioticoterapia com ciprofloxacina para infecção do trato urinário. Sem melhora dos sintomas após 3 dias de tratamento, procurou um hospital de referência apresentando piora da dor abdominal, além de náuseas e vômitos. Ao exame físico, a paciente estava descorada (1+/4+), desidratada (2+/4+), afebril ao toque, com abdome tenso e doloroso à palpação em flanco e fossa ilíaca direita, com sinal de Giordano negativo.
Exames laboratoriais: Hemoglobina: 12,6 g/dL, Leucócitos: 16.260/mm³, Plaquetas: 260.000/mm³, Creatinina: 1,01 mg/dL, Ureia: 21,8 mg/dL, INR: 1,15, PCR: 23,9 mg/L (VR<1,0).
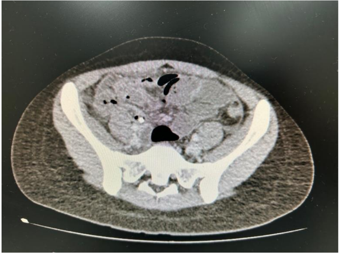
Realizou tomografia computadorizada de abdome com contraste venoso para investigação que apresentou o seguinte achado.

Dentre os diagnósticos diferenciais para esse caso, qual dos seguintes é o mais provável?