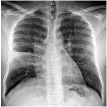
Homem de 24 anos de idade, sem antecedentes patológicos, apresenta-se à unidade básica de saúde com quadro de febre, dispneia e tosse com expectoração amarelada há 3 dias. Ele nega náuseas, vômitos, dor abdominal, diarreia, uso de medicamentos, tabagismo, etilismo ou uso de drogas. Exame físico: consciente, corado, hidratado e anictérico; PA: 115 x 75 mmHg, FC: 98 bpm, T: 38,6 ºC, FR: 16 ipm e SatO2: 96%; abdome: indolor; exame cutâneo e extremidades sem alterações relevantes. A radiografia realizada é mostrada a seguir.

Com essas informações, é correto afirmar:
Provas
Questão presente nas seguintes provas