Paciente Feminina de 9 anos. Desde os 5 anos tem epilepsia e diagnóstico de tumor cerebral. Feita biópsia, material inconclusivo. Sete meses após a cirurgia continuava com piora progressiva da cefaléia e crises epilépticas esporádicas. Atualmente apresenta déficit cognitivo e hipoacusia E. As imagens da ressonância magnética e o laudo estão apresentados nas Figuras 1 e 2, e no Texto 1, respectivamente.

Ressonância Magnética de Crânio. Cortes Axiais T1 com contraste e T2; Corte Sagital com contrate.
Fonte: UNICAMP. Anatomopatológico.
Disponível em: http://anatpat.unicamp.br'radastropilo2.html.Acessado em 21/09/2013.

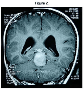
Corte Coronal T1 com contraste. Fonte: UNICAMP. Anatomopatológico.
Disponível em: http://anatpat.unicamp.br'radastropilo2.html.Acessado em 21/09/2013.
Texto 1.
O Laudo da Ressonância Magnética: Os cortes axiais mostram lesão bem delimitada e aproximadamente esférica no mesencéfalo, ocupando quase todo o tegmento e a placa quadrigêmea, com obliteração do aqueduto de Sylvius e hidrocefalia supratentorial (afetando o III ventrículo e os laterais). A lesão tem aspecto expansivo e comprime o vermis superior.
Nos cortes pesados em T2 a lesão mostra-se predominantemente homogênea e com hipersinal, indicando tratar-se de uma lesão hidratada. Não há componente cístico. Os cortes sagitais, T1 com contraste mostram Tumor Sólido, bem delimitado, originado na placa quadrigêmea; comprime anteriormente o mesencéfalo e posteriormente a porção anterior do vermis. Impregna-se de forma difusa e levemente heterogênea. O halo de liquor em volta da lesão na cisterna cerebelar superior demonstra que o tumor provém do mesencéfalo. Os cortes coronais T1 em contraste mostram que o tumor é originado na placa quadrigêmea deforma o III ventrículo (Situa-se no nível da incisura do tentório e eleva a pineal, mas não a invade).
Diante da história clínica e dos achados no exame de imagem, a hipótese diagnóstica mais provável é: