Magna Concursos
2966515 Ano: 2022
Disciplina: Medicina
Banca: QUADRIX
Orgão: IAMSPE

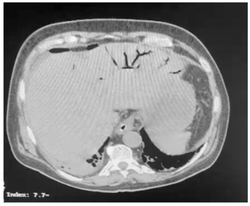
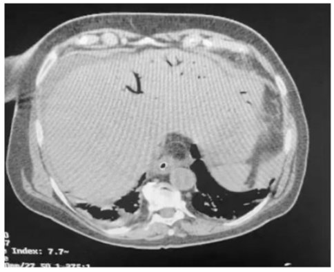
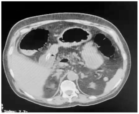
Um paciente de oitenta anos de idade, já com grau de perda de funcionalidade, com períodos de esquecimento, chegou ao pronto-socorro com queda importante do estado geral, com poucas informações objetivas, porém com dor ao exame físico de abdômen. Difícil interpretação dos sinais de irritação peritoneal. Realizou a tomografia abaixo.

Enunciado 3313718-1

Enunciado 3313718-2

Enunciado 3313718-3

A principal causa desse achado é o(a)

 

Provas

Questão presente nas seguintes provas

Residência em Medicina - Neurologia

80 Questões