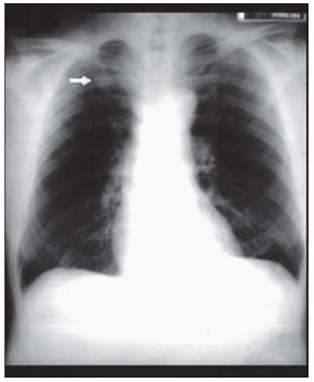
Homem com 35 anos de idade procura a
Unidade Básica de Saúde devido a uma
alteração identificada nos exames
admissionais, reproduzida na radiografia de
tórax seguinte. Refere tosse seca há 40 dias, constante, diária, nunca tratada. Nega febre,
dispneia, hemoptise e perda de peso. É
fumante, com uma carga tabágica de 20
anos.maço. O exame físico é normal. A
conduta mais apropriada para este paciente,
neste momento, é:

