Magna Concursos
2999594 Ano: 2023
Disciplina: Radiologia
Banca: FGV
Orgão: Pref. São José dos Campos-SP
Provas:

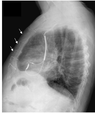
Observe a figura abaixo.

Enunciado 3332913-1

As setas indicam

 

Provas

Questão presente nas seguintes provas

Técnico de Radiologia

60 Questões