Magna Concursos
2940570 Ano: 2023
Disciplina: Medicina
Banca: UFRJ
Orgão: UFRJ

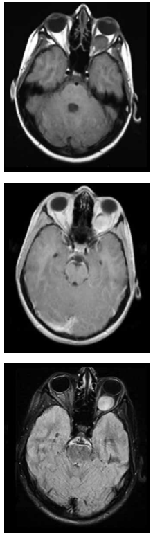
Adolescente, 14 anos, com queixa de perda progressiva da acuidade visual à esquerda.

Enunciado 3247331-1

Após a realização do exame de imagem, pode-se afirmar que:

 

Provas

Questão presente nas seguintes provas

Médico - Radiologia Pediátrica

54 Questões