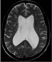
Homem de 70 anos relata quadro de alteração de marcha com base alargada, lentificação e quedas que se iniciou nos últimos 4 meses, seguido de apatia, irritabilidade, déficit de memória, confusão mental, desorientação. Nas últimas semanas vem apresentando urgência urinária. É solicitado exame de imagem, a seguir.

A hipótese diagnóstica é