Leia o Quadro Clínico 1 para responder à questão.
Quadro Clínico 1
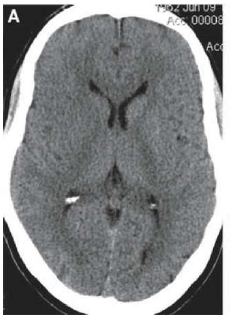
Paciente do sexo masculino, 60 anos, admitido em departamento de emergência com quadro insidioso e progressivo de redução de força e sensibilidade no hemicorpo esquerdo há mais ou menos 2,5 horas. Tem antecedente de hipertensão arterial e dislipidemia há mais de 20 anos, em tratamento irregular com losartam, hidroclorotiazida e atorvastatina. Ex-tabagista. Ao exame físico, paciente com abertura ocular a estímulos verbais, contactuante e obedecendo comandos simples. Apresenta hemiparesia e hipoestesia em hemicorpo esquerdo. Ritmo cardíaco regular, frequência cardíaca 90bpm, pressão arterial em membros superiores e inferiores (deitado) 190x100mmHg, frequência respiratória 19ipm, SpO2 88%. Tomografia de crânio evidenciou o resultado a seguir.

A conduta, nesse momento, em relação à pressão arterial do paciente relatado no Quadro Clínico 1 é