Magna Concursos
Questões
Planos
Entrar
Entrar
Criar Conta
Respondida
790226
Ano:
2015
Disciplina:
Biologia
Banca:
VUNESP
Orgão:
FAMERP
Provas:
Vestibular
Provas
×
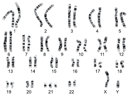
Analise a figura, que mostra o cariótipo de uma pessoa.
(www.downsyndromeaction.org)
Considerando apenas o cariótipo obtido, é correto afirmar que a análise corresponde a
A
um homem com uma triploidia.
B
um homem com uma aneuploidia.
C
uma mulher com uma trissomia.
D
um homem com uma monossomia.
E
uma mulher com uma poliploidia.
Resolver
Comentários
0
×
Cadernos
×
Flashcards
×
Estatísticas
×
Reportar um erro
×
Provas
Questão presente nas seguintes provas
Vestibular
80 Questões
Resolver Prova
Publicar
Responder
Qual o problema da questão?
Selecione uma opção
Questão Desatualizada
Questão Repetida
Gabarito Errado
Outros Motivos
Mensagem
Enviar
Acessar
Criar Conta
Acesse sua Conta
Google
Facebook
Esqueci minha senha
Acessar
Ainda não tem conta?
Crie uma
!
Crie uma Conta
Criar Conta
Olá, para continuar, precisamos criar uma conta!
É
rápido
e
grátis
.
Google
Facebook
Concordo com os
Termos de Uso
Criar
Já tem uma conta?
Acesse aqui