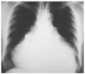
Paciente de 45 anos, sexo feminino, admitida em unidade de pronto atendimento com queixa de dispneia progressiva há 2 dias, com piora significativa até os mínimos esforços. Nega outros sintomas. Antecedente de neoplasia de mama, em acompanhamento irregular. Nega outras comorbidades. Nega uso prévio de medicações. Ao exame físico: vias aéreas aparentemente pérvias; frequência respiratória 26ipm, tórax com movimentos simétricos, murmúrio vesicular rude bilateralmente, som claro pulmonar a percussão, saturação periférica de oxigênio 88%; bulhas rítmicas e hipofonéticas, frequência cardíaca 120bpm, pressão arterial 70x40mmHg, pele fria, pegajosa, com tempo de enchimento capilar lentificado, turgência jugular evidente; aparente redução da amplitude do pulso e pressão arterial sistólica durante a inspiração; abertura ocular a estímulos dolorosos, emitindo palavras desconexas e localizando estímulos dolorosos, pupilas isofotorreagentes, sem déficit motor evidente. Trouxe radiografia de tórax realizada ontem em unidade primária de saúde (representada a seguir). Iniciado reposição volêmica com solução isotônica por acesso venoso periférico.

Qual é a conduta indicada?