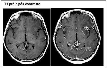
Paciente, 42 anos, sexo masculino, HIV positivo há quatro anos, em uso irregular de antirretrovirais no último ano. Devido a etilismo importante, foi levado por familiares ao hospital mais próximo de sua residência por causa do quadro iniciado há dois dias de cefaleia; rebaixamento do nível de consciência com confusão mental; sonolência; além de discreta perda de força do lado direito do corpo. O paciente realizou o seguinte exame de imagem na investigação do quadro:

Qual hipótese diagnóstica foi aventada?