Magna Concursos
1445163 Ano: 2017
Disciplina: Medicina
Banca: INAZ do Pará
Orgão: FunGota
Provas:

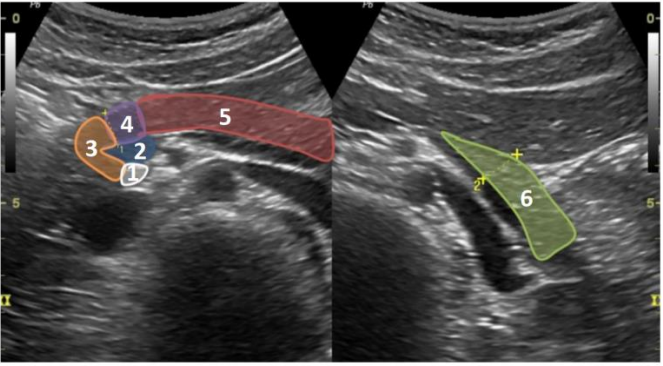
COM BASE NA IMAGEM A SEGUIR, RESPONDA AS QUESTÕES 28 E 29.

Enunciado 1445163-1

Fonte: MANUAL BASICO DE UTRASSONOGRAFIA – ESCOLA PAULISTA DE MEDICINA/2013

Quais órgão (s) está (ão) em evidencia na imagem?

 

Provas

Questão presente nas seguintes provas

Médico - Ultrassonografia

50 Questões