Magna Concursos
3368298 Ano: 2024
Disciplina: Radiologia
Banca: DIRENS Aeronáutica
Orgão: CIAAR
Provas:

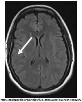
Sobre a imagem de ressonância magnética apresentada abaixo, assinale a afirmativa correta:

Enunciado 3843191-1

 

Provas

Questão presente nas seguintes provas

CAMAR - Medicina/Radiologia

60 Questões