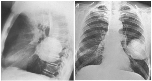
Paciente de sexo masculino, 50 anos, fumante, realizou radiografia de tórax frente e perfil abaixo. A partir das imagens assinale a alternativa correta quanto ao padrão, localização e provável natureza da lesão.

Provas
Questão presente nas seguintes provas
Médico - Radiologia e Diagnóstico por Imagem
50 Questões