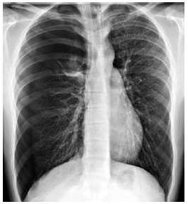
Homem de 39 anos de idade, tabagista, apresenta quadro de dor torácica intensa e dispneia de início agudo. PA: 128 x 78 mmHg, FC: 112 bpm, FR: 28 ipm e oximetria com SatO2: 95%. Não há antecedentes mórbidos e nega etilismo. ECG: taquicardia sinusal. A radiografia de tórax realizada é mostrada a seguir.

Nesse caso descrito, a melhor conduta é