Paciente de 39 anos, sexo masculino, procura
o PS com quadro de dispneia e tosse de 3
semanas de evolução. Relata perda ponderal
não intencional nos últimos 2 meses. Nega
qualquer doença ou uso prévio de
medicação. O exame físico revela candidíase
em mucosa oral, temperatura de 38,4 ºC e
oximetria de pulso de 84% em ar ambiente.
Exames solicitados na urgência revelam LDH
de 1000 UI/L e Gasometria mostrando pH
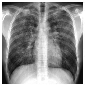
7,47, pCO2 30 HCO3 17, pO2 64. Radiografia
simples de tórax mostra padrão de
opacificação intersticial de predomínio perihilar e pequenas pneumatoceles, sem
derrame pleural, conforme a imagem a
seguir:

Diante do caso apresentado, o médico assistente levanta a hipótese de

Diante do caso apresentado, o médico assistente levanta a hipótese de