
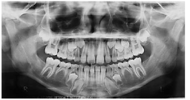
Tendo como base a imagem apresentada, que reproduz uma radiografia panorâmica e os conhecimentos odontológicos correlatos, julgue os itens a seguir.
Provas
Questão presente nas seguintes provas
Residência em Odontologia - Terapia Intensiva
120 Questões