Magna Concursos
3810738 Ano: 2024
Disciplina: Medicina
Banca: FUNDATEC
Orgão: GHC
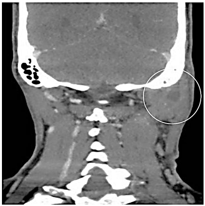
Homem, 46 anos, com quadro de otorreia, otalgia, febre e edema cervical ipsilateral às queixas otológicas, é submetido à tomografia computadorizada de mastoides com contraste (imagem abaixo): 
Enunciado 4713918-1
Acerca do caso em questão, o diagnóstico mais provável e a conduta mais adequada é:
 

Provas

Questão presente nas seguintes provas

Médico - Otorrinolaringologia

40 Questões