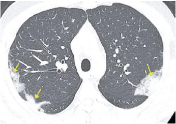
Paciente masculino, de 41 anos, apresentando tosse, febre e dispneia há 5 dias, realizou a seguinte tomografia computadorizada e aguarda resultado do PCR de swab nasal. Sobre a possibilidade diagnóstica de COVID-19, é correto afirmar que

Paciente masculino, de 41 anos, apresentando tosse, febre e dispneia há 5 dias, realizou a seguinte tomografia computadorizada e aguarda resultado do PCR de swab nasal. Sobre a possibilidade diagnóstica de COVID-19, é correto afirmar que
