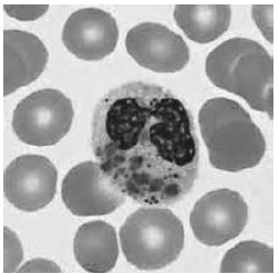
Realizado exame de hemograma, com leitura de lâmina de esfregaço periférico de uma criança de 7 anos, apresentando quadro febril e herpes simples. No laudo, foi relatado a presença de grânulos gigantes nos leucócitos e pancitopenia.
Imagem de lâmina periférica

(Imagem gentilmente cedida pelo Laboratório de Análises Clínicas da FMABC)
A imagem dada demonstra um leucócito contendo alterações citoplasmática peculiares a