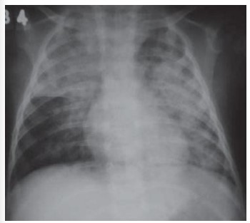
Abaixo é exposto uma radiografia de tórax, incidência anteroposterior, de um menino de 3 anos
de idade representando uma pneumonia não relacionada a anomalias anatômicas ou funcionais. A
criança está em tratamento de constipação com óleo mineral, como adjuvante. Observa-se na
imagem opacidades em ambos os pulmões, coalescentes, com distribuição dita em "asas de
borboleta". No contexto clínico, este aspecto permite o diagnóstico de:

Fonte: Oliveira GA, Del Caro SR, Bender Lamego CM, et al. Radiographic plain film and CT findings in pneumonia in infants following used in treatment of bowel obstruction by Ascaris lumbricoides. Pediatr Radiol. 1985;15:157-60.

Fonte: Oliveira GA, Del Caro SR, Bender Lamego CM, et al. Radiographic plain film and CT findings in pneumonia in infants following used in treatment of bowel obstruction by Ascaris lumbricoides. Pediatr Radiol. 1985;15:157-60.