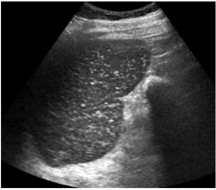
Homem de 68 anos refere diversos episódios prévios de hemorragia digestiva alta por varizes esofágicas. Conta ter tratado esquistossomose há muito tempo. Diz que o seu baço é grande há vários anos. Na ultrassonografia de abdome, foram evidenciadas imagens no parênquima esplênico (foto). A que correspondem essas imagens?

Provas
Questão presente nas seguintes provas