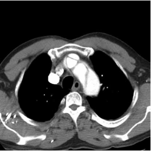
Paciente hipertenso em uso atual de 3 anti-hipertensivos inicia dor torácica de forte intensidade, em “facada”, com irradiação parar dorso. Frequência cardíaca de 90 bpm e pressão arterial de 220 x 120 mmHg. Eletrocardiograma mostra sobrecarga atrial e ventricular esquerdas. Realizou a angiotomografia a seguir.

O nível-alvo de pressão arterial sistólica a ser atingido idealmente em 20 minutos é