Magna Concursos
3029427 Ano: 2023
Disciplina: Medicina
Banca: IBFC
Orgão: EBSERH

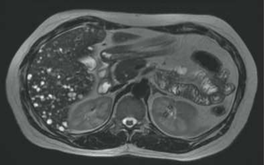
Analise a imagem de ressonância magnética ponderada em T2 e assinale o diagnóstico mais provável:

Enunciado 3029427-1

 

Provas

Questão presente nas seguintes provas